New Software Tools Streamline DNA Sequence Design-and-Build Process
These enhanced tools will accelerate gene discovery and characterization, vital for new forms of fuel production.
These enhanced tools will accelerate gene discovery and characterization, vital for new forms of fuel production.
Researchers discover the first CRISPR-Cas9 system in archaea, which may enable new technologies for biological research.
New database of DNA viruses and retroviruses debuts.
Understanding interactions among organisms in complex microbial communities sheds new light on a globally significant environmental process.
Understanding how brown rot fungi degrade wood could lead to new tools for more efficient biofuel production.
For the first time, scientists analyzed the genetic material of surface microbes that are colonizing the deep subsurface, where they are adapting and thriving.
Mass spectrometry and high-performance computing combined, allowing scientists to study proteins that link internal processes to community attributes.
Recycling waste from biofuel production could lower cost for future biorefineries.
A novel E. coli fatty acid biosynthesis system could more efficiently convert biomass to desired products.
Genetic approaches will aid development of higher biomass-yielding, sustainable trees for bioenergy feedstocks.
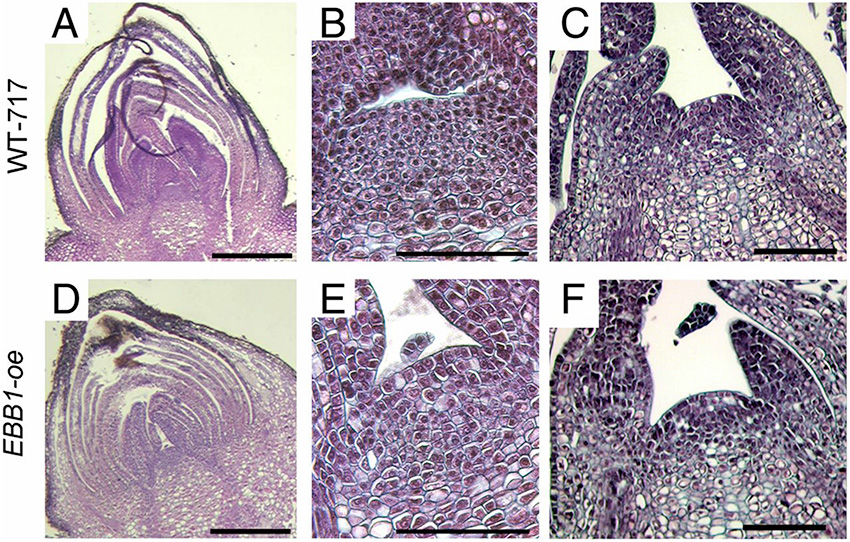
“Master regulator” gene will facilitate management and breeding of trees better adapted to changing environments.
Better understanding could lead to more cost-effective production of cellulosic biofuels.